錦部製作所オリジナル
智歯による第二大臼歯遠心カリエス切削用チップのご紹介です。
こちらがその「EENO フラット」です。
※「EENO フラット」は超音波スケーラーとエアースケーラーでご使用いただけます。写真はエアースケーラ用
こちらは愛知県豊橋市で開業されているEEデンタル院長・井野先生監修の「超音波スケーラーチップとエアースケーラーチップ」となります。
智歯により第二大臼歯遠心にできてしまったカリエスの除去に悩まれてはいませんか?
この「EENO フラット」はその悩みを解決します。
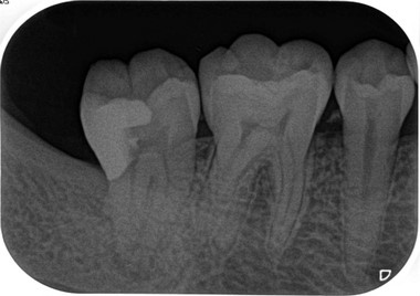
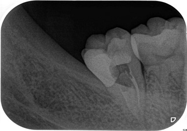
【症例】智歯による第2大臼歯遠心カリエス
(EEデンタルブログより引用)
?毎度おなじみのエアースケーラー用チップを使用してチマチマ削ります。
(カボ・ナカニシのダイヤル調整型を使い、パワー設定は基本2で使用してください)
カリエス除去後まず、遠心をレジン充填(隔壁)。フロアブルレジンを使用。

? 削った時点で神経が見えており、出血がなく、神経が死んでいるのが確認できたので、次に根管治療を行います。

? この歯は樋状根でした。根管治療後、レジンコア+レジン充填にて修復を行いました。

普段の臨床ではあまり多くない症例のようですが、この「EENO フラット」が1本あると先生のためにも、そして患者さんのためにもお役に立つと思います。
井野先生の講演をお聴きになったことがない場合やちょっとどういう風に使うか分かりづらいなどの場合は、まず、DVD「第二大臼歯遠心カリエス切削 症例集」をご請求ください。
井野先生のご厚意で無料でプレゼントいたします。
※EENOフラットはエアースケーラーと超音波スケーラーでご使用いただけます。
・エアースケーラーはカボ社、ナカニシ社のダイヤル調整式のものでご使用いただけます。
・超音波スケーラーはP-MAX、バリオス、EMS社のものでご使用いただけます。
※EENOフラットは智歯による第二第二大臼歯遠心カリエスを切削するためのチップです。小さく切削することができるのが特徴です。
DVD「第二大臼歯遠心カリエス切削 症例集」(無料)の請求はこちらからどうぞ
→ DVD「第二大臼歯遠心カリエス切削 症例集」(無料)申込みページ
※上記を申し込みいただきますと、新製品「EENOボール・EENOスフィアの症例集」(無料)のDVDも同時にプレゼントいたします。
こちらは新たに井野先生がアップしている動画となります。
道具の届かない上顎第2大臼歯遠心面を必要最低限の切削で削れます。
→ https://www.youtube.com/watch?v=eGPiZf3X23c&feature=youtu.be












